
植牙被譽為人類的第三副牙齒,可保留鄰近好牙,免除削磨鄰牙製作牙套的惡夢。本院為了提昇植牙手術的準確度與安全性,斥資引進德國西門子研發的3D數位電腦斷層掃瞄系統(CT),透過尖端科技輔助,可精確掌握牙床的形狀、厚度及神經、鼻竇與血管的位置,甚至可以模擬植體的植入位置,有效達成微創的人性化植牙。
尖端設備 專業技術
本院由植牙專科醫師何宜威醫師主持,提供專業、確實的醫療與諮詢服務。為進一步提昇手術品質,本院斥資引進CT電腦斷層掃瞄系統、牙科專用雷射治療儀、Cerec 3D齒雕機,並選用歐美大廠植體系統,品質安全更有保障,為閣下的口腔健康把關。歡迎來電洽詢,電話03-525-1977,或可進入線上約診系統。馨典牙醫診所竭誠為閣下的口腔健康把關。

院長何宜威醫師 簡歷
- 高雄醫學大學牙醫學碩士
- 福爾摩沙植牙學會植牙專科醫師
- 中華民國臨床植牙學會會員
- 美國Boston植牙專科結業
- 美國U.S.C.牙周植牙專科結業
- 衛生署署定齒顎矯正專科醫師
- 中華民國齒顎矯正學會專科醫師
馨典牙醫提供 : 新竹竹北植牙服務,歡迎來電預約03-5251977
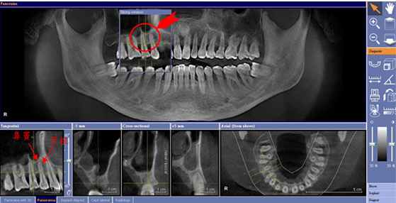
本院新引進德國西門子3D數位電腦斷層掃瞄儀「GALILEOS 3D」,為患者的健康把關。電腦斷層又稱 CT,為 Computerized Tomography 的縮寫,意指經過電腦的處理所現出來的影像「電腦斷層攝影術」。
透過電腦斷層,可以進一步瞭解患者的口腔狀況;進而為植牙手術,乃至其他分科治療,做更妥善的準備。包括︰患者是否罹患牙周疾病、有沒有埋伏智齒、牙齒根管治療(抽神經)的狀況,乃至於瞭解患者下齒槽神經叢的走向,選擇適當長度的植體進行植牙,避免肇生壓迫到神經管或根尖骨頭穿孔的後遺症,對患者的安全做妥適的保護。
簡言之,透過電腦斷層,將可清楚瞭解患者的口內3D狀況、骨質密度、神經走向,以及與上顎鼻竇的距離,這是傳統平面X光所做不到的。本院所引進的「GALILEOS 3D」,拍攝時間僅需14秒。不但是植牙醫師植牙時的優越參考輔助,也能更清楚地向患者做手術方面的說明。為醫病雙方的權益,做更為妥善的把關。

●透過3D影像,可有效測量牙根與上顎鼻竇的正確距離,避免打穿。
CT電腦斷層在植牙手術的優勢
拍電腦斷層 (CT) ,能讓植牙醫生,能更加準確地知道掌握患者的口腔狀況,制定妥善的治療計畫,不僅降低雙方的醫療風險,更重要的是保障患者的醫療權益,患者有權益享用更好的醫療設備來做更精確的治療。本院提供植牙患者CT拍攝服務,花一樣的診療費用,為何不選擇具有CT電腦斷層的診所呢?

CT優勢一覽表
| CT優勢介紹 | 說明 |
|---|---|
| 提高成功率 | 電腦斷層判讀詳細的3D影像,且可模擬植體功能,大幅提昇植牙成功率。且拍攝時間只需14秒。 |
| 提高安全性 | 藉由電腦斷層所形成的立體造影成像,可避免壓迫到神經管或穿透鼻竇腔。手術更安心。 |
| 降低疼痛 | 詳細的口內判讀與模擬植體,有助降低組織破壞,減少創口,術後疼痛與感染自然降低。 |
| 保障患者權益 | 詳細的數據與影像,將更有助醫病雙方的溝通。患者植牙不再心驚驚,服務品質更有保障。 |
主要的關鍵是,3D數位電腦斷層所建構而成的立體成像,比起傳統的平面X光片,在方位判讀上更為精準。臨床實務上,植牙手術很重要的是瞭解解患者齒槽骨內神經管的確切位置,及骨質密度是否可以接受植牙。
倘若植牙患者事先只有拍攝傳統的2D(平面)X光片,牙醫師將只能仰賴過去的經驗做判斷。也因此,傳統上經常發生醫生在進入到手術過程以後,才發現患者的條件並不適合植牙。
本院必須強調,在植牙手術前拍攝CT電腦斷層,可對骨頭狀況、神經管走勢、植牙位置做360度的確認,骨頭條件一覽無遺,提供診斷上的準確性,在提高手術成功率的同時,也可降低手術風險。健康,不可重來。尤其植牙手術所費不貲,花一樣的預算,為何不選擇具有CT電腦斷層的牙科診所呢?本院提供植牙患者3D電腦斷層拍攝服務,歡迎利用。
GALILEOS 3D數位電腦斷層vs一般平面X光片比較表
| 本院提供的GALILEOS 3D數位電腦斷層 | 傳統平面全口X光 | |
|---|---|---|
| 畫面成像 | 3D數位影像,可360度旋轉,判讀骨質與神經管走勢,協助醫生解說病情並提供理想之治療方式。 | 只能提供平面X光片,必須仰賴醫生的個人經驗做判斷。 |
| 執行優勢 | 可藉由不同角度檢查每一顆牙齒、口內狀況,呈現口腔之立體3D影像。 | 只有單一平面,多半提供初步檢查。不然就是要轉診到大醫院。 |

