
本院新引進德國西門子3D數位電腦斷層掃瞄儀,為患者的健康把關。電腦斷層又稱 CT,為 Computerized Tomography 的縮寫,意指經過電腦的處理所現出來的影像「電腦斷層攝影術」。透過電腦斷層,可以進一步瞭解患者的口腔狀況,包括︰是否有牙周問題、牙齒有幾顆、有沒有水平智齒、根管治療(抽神經)的狀況,乃至於瞭解患者的口內骨頭狀況,看到下顎齒槽神經叢,藉以選擇最適當直徑、長度的植體,才不會壓迫到神經或根尖骨頭穿孔的後遺診,對患者的安全做妥善的保護。
3D數位電腦斷層,不但是植牙手術的輔助利器,亦可應用於其他分科的診斷上。拍攝時間僅需14秒,不必擔心輻射殘留。以下簡單說明CT在其他分科判讀上的應用。

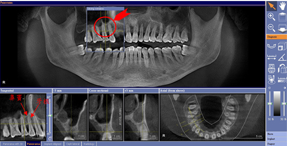
檢測智齒與神經管是否重疊

確認正確的牙根數量及方向

透過3D影像,可有效測量牙根與上顎鼻竇的距離

透過CT成像,將可發現口腔組裡的不明硬組織

檢查水平智齒是否造成鄰牙蛀牙

檢查牙齒與牙周韌帶的關係
科技來自於人類的需求,若您有任何缺牙或牙周的問題,歡迎與本3D植牙中心聯繫,洽詢專線03-525-1799。

