關於馨典
診療項目
3D微創植牙
馨典專業植牙中心
3D電腦斷層輔助植牙
3D電腦斷層模擬植體功能
3D齒雕
Cerec 3D齒雕
牙周雷射
水雷射牙周病治療
銣雅鉻雷射牙周病治療
3D數位隱形矯正
隱適美隱形矯正
舒服美隱形矯正
宜可麗隱形矯正
專業治療項目
PRF補骨
根管治療
全口重建
一般牙科
牙齒美白
牙齒矯正
全瓷牙冠
門診時間
醫療團隊
最新消息
環境介紹
案例分享
貼片案例介紹
全口貼片美白
全瓷冠美白
上排牙齒全瓷冠
全瓷冠案例介紹
上排八顆全瓷冠
單顆缺牙及美白
門牙斷裂及蛀牙
單顆門牙全瓷冠
全瓷冠B
全瓷冠A
全瓷美白
門牙四顆全瓷冠B
門牙四顆全瓷冠A
全瓷案例介紹
全瓷美白案例介紹
牙縫過大案例介紹
上排門牙案例介紹
全口全瓷案例介紹
前牙四顆全瓷冠
牙周病案例介紹
牙周病全口重建案例介紹
牙周病影響外觀案例介紹C
牙周病影響外觀案例介紹B
牙周病影響外觀案例介紹A
人工植牙案例介紹
雷射牙周合併全口多顆植牙案例介紹
全口重建案例C
全口重建案例B
全口重建案例A
Cerec 3D齒雕案例介紹
Cerec 3D齒雕 恢復牙齒美觀與功能
門牙斷裂缺損 3D齒雕恢復美觀
門牙泛黃 3D齒雕恢復白淨
牙周雷射合併Cerec 3D齒雕 恢復美觀與功能
全瓷牙冠合併3D齒雕案例介紹
齒顎矯正案例介紹
戽斗(地包天)矯正案例介紹
無拔牙矯正案例介紹
齒顎矯正 改善前牙深咬問題
前牙錯咬 早期治療案例介紹
齒顎矯正 改善深咬與咬合不正
上下顎前突 矯正恢復功能與美觀
全口多牙凌亂 齒顎矯正案例
上下顎前突(暴牙)矯正案例介紹
矯正案例介紹F
矯正案例介紹E
矯正案例介紹D
矯正案例介紹C
矯正案例介紹B
矯正案例介紹A
下顎前凸改善案例
隱形矯正案例
常見Q&A
硬體設備
水雷射治療機
全自動衛生設備
手術專用無影燈
空氣濾靜機
戴蒙矯正器
植體
植牙專用診療椅
牙科消毒設備
冷光美白機
牙科雷射
牙科專用數位X光機
CEREC 3D齒雕
3D數位電腦斷層
關於馨典
診療項目
+
–
3D微創植牙
+
–
馨典專業植牙中心
3D電腦斷層輔助植牙
3D電腦斷層模擬植體功能
3D齒雕
+
–
Cerec 3D齒雕
牙周雷射
+
–
水雷射牙周病治療
銣雅鉻雷射牙周病治療
3D數位隱形矯正
+
–
隱適美隱形矯正
舒服美隱形矯正
宜可麗隱形矯正
專業治療項目
+
–
PRF補骨
根管治療
全口重建
一般牙科
牙齒美白
牙齒矯正
全瓷牙冠
門診時間
醫療團隊
最新消息
環境介紹
案例分享
+
–
貼片案例介紹
+
–
全口貼片美白
全瓷冠美白
上排牙齒全瓷冠
全瓷冠案例介紹
上排八顆全瓷冠
單顆缺牙及美白
門牙斷裂及蛀牙
單顆門牙全瓷冠
全瓷冠B
全瓷冠A
全瓷美白
門牙四顆全瓷冠B
門牙四顆全瓷冠A
全瓷案例介紹
+
–
全瓷美白案例介紹
牙縫過大案例介紹
上排門牙案例介紹
全口全瓷案例介紹
前牙四顆全瓷冠
牙周病案例介紹
+
–
牙周病全口重建案例介紹
牙周病影響外觀案例介紹C
牙周病影響外觀案例介紹B
牙周病影響外觀案例介紹A
人工植牙案例介紹
+
–
雷射牙周合併全口多顆植牙案例介紹
全口重建案例C
全口重建案例B
全口重建案例A
Cerec 3D齒雕案例介紹
+
–
Cerec 3D齒雕 恢復牙齒美觀與功能
門牙斷裂缺損 3D齒雕恢復美觀
門牙泛黃 3D齒雕恢復白淨
牙周雷射合併Cerec 3D齒雕 恢復美觀與功能
全瓷牙冠合併3D齒雕案例介紹
齒顎矯正案例介紹
+
–
戽斗(地包天)矯正案例介紹
無拔牙矯正案例介紹
齒顎矯正 改善前牙深咬問題
前牙錯咬 早期治療案例介紹
齒顎矯正 改善深咬與咬合不正
上下顎前突 矯正恢復功能與美觀
全口多牙凌亂 齒顎矯正案例
上下顎前突(暴牙)矯正案例介紹
矯正案例介紹F
矯正案例介紹E
矯正案例介紹D
矯正案例介紹C
矯正案例介紹B
矯正案例介紹A
下顎前凸改善案例
隱形矯正案例
常見Q&A
硬體設備
+
–
水雷射治療機
全自動衛生設備
手術專用無影燈
空氣濾靜機
戴蒙矯正器
植體
植牙專用診療椅
牙科消毒設備
冷光美白機
牙科雷射
牙科專用數位X光機
CEREC 3D齒雕
3D數位電腦斷層
關閉
全口重建案例C
首頁
/
案例分享
/
人工植牙案例介紹
/
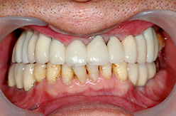
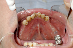
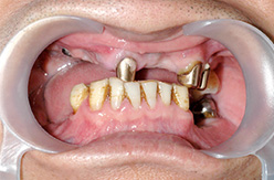
全口重建案例C
●治療前
●治療後
聲明: 本所療程皆由專業醫生評估後,依照個人口腔狀況進行治療。因每位患者個別狀況不同,術後狀況也不盡相同,需親來本所由醫生評估。
關閉