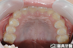
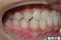
對於戽斗或前牙錯咬的治療時間點,雖仍未有確切定論,但若就早期改善齒顎排列狀況,由於骨骼較為柔軟,療程一般較短,且能誘導下顎骨正常發育,減少因前牙錯咬造成的牙齒、牙肉損傷,增進孩子的咀嚼功能與心理健全發展。
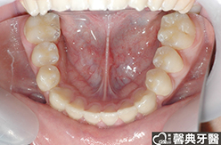
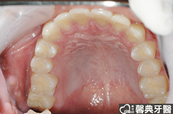
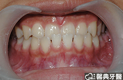
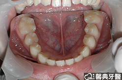
患者︰黃小弟弟,十三歲,學生。
主訴︰戽斗,想做矯正。
治療計劃︰上顎前牙排齊後彈出,下顎前牙排齊後後縮,重建正常咬合關係。
| ●治療前 | ●治療後 | |
![]() | ![]() | ![]() |
![]() | ![]() | ![]() |
![]() | ![]() | ![]() |
![]() | ![]() | ![]() |
![]() | ![]() | ![]() |
![]() | ![]() | ![]() |
![]() | ![]() | ![]() |
![]() | ![]() | ![]() |
聲明: 本所療程皆由專業醫生評估後,依照個人口腔狀況進行治療。因每位患者個別狀況不同,術後狀況也不盡相同,需親來本所由醫生評估。
對於戽斗或前牙錯咬的治療時間點,雖仍未有確切定論,但若就早期改善齒顎排列狀況,由於骨骼較為柔軟,療程一般較短,且能誘導下顎骨正常發育,減少因前牙錯咬造成的牙齒、牙肉損傷,增進孩子的咀嚼功能與心理健全發展。
患者︰黃小弟弟,十三歲,學生。
主訴︰戽斗,想做矯正。
治療計劃︰上顎前牙排齊後彈出,下顎前牙排齊後後縮,重建正常咬合關係。
| ●治療前 | ●治療後 | |
![]() | ![]() | ![]() |
![]() | ![]() | ![]() |
![]() | ![]() | ![]() |
![]() | ![]() | ![]() |
![]() | ![]() | ![]() |
![]() | ![]() | ![]() |
![]() | ![]() | ![]() |
![]() | ![]() | ![]() |
聲明: 本所療程皆由專業醫生評估後,依照個人口腔狀況進行治療。因每位患者個別狀況不同,術後狀況也不盡相同,需親來本所由醫生評估。
牙齒不整齊?現在有更優雅的選擇】不需鋼牙、不影響生活
全數位評估,量身打造專屬牙套
舒適、透明、可拆卸
讓你在不知不覺中完成蛻變✨
立即預約諮詢,找回自信笑容
諮詢專線:03-525-1977
