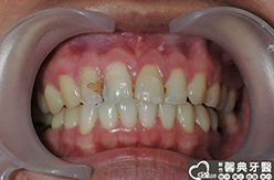
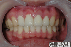
門牙泛黃 3D齒雕恢復白淨
透過3D齒雕進行美白療程,其優勢在於時程較短,審慎評估自身需求,以及齒質,配合生活作息改善,還原牙齒潔白面貌。
患者︰郭小姐,三十二歲,上班族。
主訴︰門牙泛黃、髒髒的不好看。
治療計劃︰於前排四顆門牙進行消毒,並藉由3D齒雕療程進行牙齒復形、美白。
| ●治療前 | ●治療後 | |
![]() | ![]() | ![]() |
![]() | ![]() | ![]() |
聲明: 本所療程皆由專業醫生評估後,依照個人口腔狀況進行治療。因每位患者個別狀況不同,術後狀況也不盡相同,需親來本所由醫生評估。
透過3D齒雕進行美白療程,其優勢在於時程較短,審慎評估自身需求,以及齒質,配合生活作息改善,還原牙齒潔白面貌。
患者︰郭小姐,三十二歲,上班族。
主訴︰門牙泛黃、髒髒的不好看。
治療計劃︰於前排四顆門牙進行消毒,並藉由3D齒雕療程進行牙齒復形、美白。
| ●治療前 | ●治療後 | |
![]() | ![]() | ![]() |
![]() | ![]() | ![]() |
聲明: 本所療程皆由專業醫生評估後,依照個人口腔狀況進行治療。因每位患者個別狀況不同,術後狀況也不盡相同,需親來本所由醫生評估。
牙齒不整齊?現在有更優雅的選擇】不需鋼牙、不影響生活
全數位評估,量身打造專屬牙套
舒適、透明、可拆卸
讓你在不知不覺中完成蛻變✨
立即預約諮詢,找回自信笑容
諮詢專線:03-525-1977
