牙周雷射合併Cerec 3D齒雕 恢復美觀與功能
據統計,百分之八十以上的成年人,患有程度輕重不一的牙周病。牙周病嚴重時,細菌侵蝕骨頭,造成牙根裸露,不但危及牙齒健康,也影響美觀。本院引進牙科專用雷射治療儀,可深入各個角落,進行牙周組織的清潔、消毒與維護。搭配Cerec3D齒雕系統,更快速地恢復牙齒美觀與功能,協助患者重新綻放笑容。
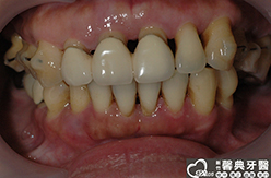
患者:廖小姐,46歲,家管。
主訴:牙周病造成牙齒鬆動、牙縫變大不好看。
臨床發現:中度牙周炎,細菌已侵蝕骨頭,造成牙齒鬆動、牙根裸露。
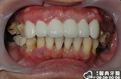
治療計畫
- 對牙周病變組織進行雷射治療。
- 使用Cerec3D對前牙上排六顆牙齒,進行牙體復形。
- 待牙齒穩固後,將視情況進行下排前牙的牙體復形。
| ●治療前 | ●治療後 | |
![]() | ![]() | ![]() |
聲明: 本所療程皆由專業醫生評估後,依照個人口腔狀況進行治療。因每位患者個別狀況不同,術後狀況也不盡相同,需親來本所由醫生評估。





牙齒不整齊?現在有更優雅的選擇】