全口矯正最令一般民眾卻步的,是療程較長,特別是成年人,一般約需二年,長期下來影響正常作息。其實,如果患者本身口內條件予許,也有一年半即可完成的案例,且過程中不需要拔除智齒以外之正常牙齒。
患者︰趙先生,二十多歲,上班族。
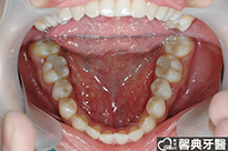
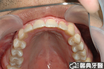
主訴︰上、下排部份牙齒歪斜,影響咬合與美觀。
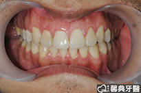
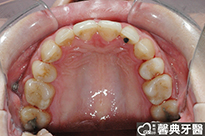
治療計劃︰經診斷,無需拔牙,佩戴矯正器,療程約一年半,需定期回診調整矯正線。
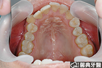
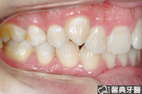
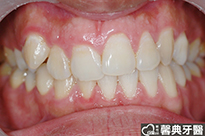
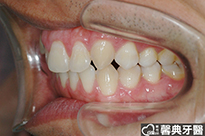
| ●矯正前 | ||||
![]() | ![]() | |||
![]() | ||||
![]() | ![]() | ![]() | ||
![]() | ||||
| ●矯正中 | ||||
![]() | ![]() | ![]() | ||
![]() | ||||
| ●矯正後 | ||||
![]() | ||||
![]() | ![]() | ![]() | ||
![]() |
聲明: 本所療程皆由專業醫生評估後,依照個人口腔狀況進行治療。因每位患者個別狀況不同,術後狀況也不盡相同,需親來本所由醫生評估。


















牙齒不整齊?現在有更優雅的選擇】