患者︰陳先生,四十餘歲,經商。
主訴︰牙周病、多顆缺牙、前牙門牙牙套變色不好看。
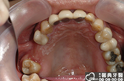
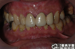
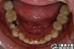
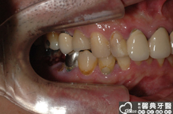
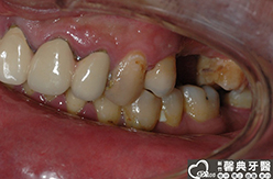
臨床發現︰
- 上顎門牙#11(右上第一顆門牙)、#21(左上第一顆門牙)、#22(左上第二顆門牙)假牙邊緣滲漏、變色。
- 全口牙周病,伴隨多顆缺牙,包括:右上第二小臼齒、右上第一大臼齒、右下第一大臼齒,以及右下第二大臼齒、左下第一大臼齒、左下第二大臼齒等共六顆缺牙。
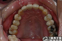
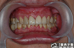
治療計畫︰
- 雷射治療全口牙周病。
- 於上顎前牙美觀區#11、#21、#22進行消毒,並製作全瓷牙冠。
- 於其他六顆缺牙處進行人工植牙。
- 骨整合結束後即可裝置人工牙冠。
- 進行全口咬合檢查,療程結束。
| ●治療前 | ●治療後 | |
|  |  |  | 
|  |  |  | 
|  |  |  | 
|  |  |  | 
|  |  |  | 
|  |  |  | 
聲明: 本所療程皆由專業醫生評估後,依照個人口腔狀況進行治療。因每位患者個別狀況不同,術後狀況也不盡相同,需親來本所由醫生評估。

