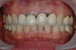
全口重度牙周病及牙齦萎縮。
患者︰廖小姐,五十五歲。
主訴︰全口牙周雷射治療完成後合併上排全瓷牙重建恢復往日笑容。
全瓷美白。
| ●治療前 | ●治療後 | |
![]() | ![]() | ![]() |
聲明: 本所療程皆由專業醫生評估後,依照個人口腔狀況進行治療。因每位患者個別狀況不同,術後狀況也不盡相同,需親來本所由醫生評估。
全口重度牙周病及牙齦萎縮。
患者︰廖小姐,五十五歲。
主訴︰全口牙周雷射治療完成後合併上排全瓷牙重建恢復往日笑容。
全瓷美白。
| ●治療前 | ●治療後 | |
![]() | ![]() | ![]() |
聲明: 本所療程皆由專業醫生評估後,依照個人口腔狀況進行治療。因每位患者個別狀況不同,術後狀況也不盡相同,需親來本所由醫生評估。
牙齒不整齊?現在有更優雅的選擇】不需鋼牙、不影響生活
全數位評估,量身打造專屬牙套
舒適、透明、可拆卸
讓你在不知不覺中完成蛻變✨
立即預約諮詢,找回自信笑容
諮詢專線:03-525-1977
