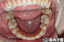
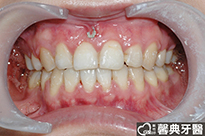
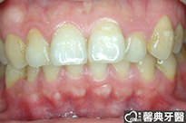
上顎門牙暴牙突出,導致前牙深咬,影響美觀與閉合,是牙科臨床上常見的問題,可藉由齒顎矯正,改善牙齒排列狀況。
患者︰王小姐,二十多歲,上班族。
主訴︰前牙暴牙、凌亂,影響美觀與閉合。
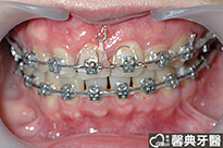
治療計劃︰佩戴專屬矯正器,定期回診調整矯正線,療程二年內可結束,恢復牙齒正常排列。
| ●矯正前 | ||||
![]() | ![]() | ![]() | ||
![]() | ||||
![]() | ![]() | ![]() | ||
![]() | ||||
| ●矯正中 | ||||
![]() | ![]() | ![]() | ||
![]() | ||||
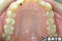
| ●矯正後 | ||||
![]() | ![]() | ![]() | ||
![]() | ||||
![]() | ![]() | ![]() | ||
![]() |
聲明: 本所療程皆由專業醫生評估後,依照個人口腔狀況進行治療。因每位患者個別狀況不同,術後狀況也不盡相同,需親來本所由醫生評估。
上顎門牙暴牙突出,導致前牙深咬,影響美觀與閉合,是牙科臨床上常見的問題,可藉由齒顎矯正,改善牙齒排列狀況。
患者︰王小姐,二十多歲,上班族。
主訴︰前牙暴牙、凌亂,影響美觀與閉合。
治療計劃︰佩戴專屬矯正器,定期回診調整矯正線,療程二年內可結束,恢復牙齒正常排列。
| ●矯正前 | ||||
![]() | ![]() | ![]() | ||
![]() | ||||
![]() | ![]() | ![]() | ||
![]() | ||||
| ●矯正中 | ||||
![]() | ![]() | ![]() | ||
![]() | ||||
| ●矯正後 | ||||
![]() | ![]() | ![]() | ||
![]() | ||||
![]() | ![]() | ![]() | ||
![]() |
聲明: 本所療程皆由專業醫生評估後,依照個人口腔狀況進行治療。因每位患者個別狀況不同,術後狀況也不盡相同,需親來本所由醫生評估。
牙齒不整齊?現在有更優雅的選擇】不需鋼牙、不影響生活
全數位評估,量身打造專屬牙套
舒適、透明、可拆卸
讓你在不知不覺中完成蛻變✨
立即預約諮詢,找回自信笑容
諮詢專線:03-525-1977
