無銀汞贗復是二十一世紀牙科的發展趨勢,以陶瓷為主的填補材料,由於具有美觀、硬度高、生物相容性好等優點,已成為先進國家填補的主流。德國西門子嶄新研發的CEREC 3D電腦輔助3D齒雕,應用高科技影像擷取與電腦作業,最快一個診次即可完成療程,提供全瓷填補的新選擇。
CEREC 3D齒雕的臨床適應症範圍極廣,舉凡蛀牙的填補、根管治療後牙冠修復、後牙嚴重磨耗的重建、前牙美容貼片、前牙斷裂修復、前牙縫隙的關閉、前牙鄰接面蛀牙貼面處理等,惟3D齒雕屬於自費治療,收費一般較傳統牙體復形為高,想省時又有美牙需求的民眾,可逕洽所屬主治醫師。
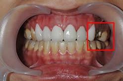
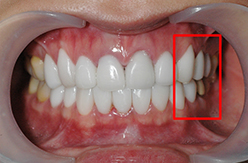
患者︰王小姐,二十多歲,上班族。
主訴︰左上內側牙齒污損不雅觀。
臨床發現︰患者左上第一、第二小臼齒有齲齒問題,牙體脆弱,由於患者有治療時間上的限制,決定使用CEREC 3D齒雕進行修復。
治療計劃︰對左上第一、第二小臼齒牙體進行消毒,並使用CEREC 3D修復其牙體,快速恢復功能與美觀。
| ●治療前 | ●治療後 | |
![]() | ![]() | ![]() |
![]() | ![]() | ![]() |
聲明: 本所療程皆由專業醫生評估後,依照個人口腔狀況進行治療。因每位患者個別狀況不同,術後狀況也不盡相同,需親來本所由醫生評估。







牙齒不整齊?現在有更優雅的選擇】