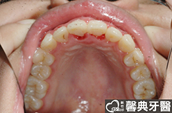
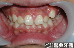
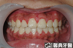
患者︰馮小妹妹,十三歲,學生。
主訴︰暴牙凌亂,影響美觀。
臨床發現︰上顎前牙深咬,上下顎咬合不正,多顆牙齒排列凌亂。
治療計劃︰將上顎牙齒向內外,並調整全口咬合狀態。
| ●治療前 | ●治療後 | |
![]() | ![]() | ![]() |
![]() | ![]() | ![]() |
![]() | ![]() | ![]() |
![]() | ![]() | ![]() |
![]() | ![]() | ![]() |
![]() | ![]() | ![]() |
![]() | ![]() | ![]() |
聲明: 本所療程皆由專業醫生評估後,依照個人口腔狀況進行治療。因每位患者個別狀況不同,術後狀況也不盡相同,需親來本所由醫生評估。
患者︰馮小妹妹,十三歲,學生。
主訴︰暴牙凌亂,影響美觀。
臨床發現︰上顎前牙深咬,上下顎咬合不正,多顆牙齒排列凌亂。
治療計劃︰將上顎牙齒向內外,並調整全口咬合狀態。
| ●治療前 | ●治療後 | |
![]() | ![]() | ![]() |
![]() | ![]() | ![]() |
![]() | ![]() | ![]() |
![]() | ![]() | ![]() |
![]() | ![]() | ![]() |
![]() | ![]() | ![]() |
![]() | ![]() | ![]() |
聲明: 本所療程皆由專業醫生評估後,依照個人口腔狀況進行治療。因每位患者個別狀況不同,術後狀況也不盡相同,需親來本所由醫生評估。
牙齒不整齊?現在有更優雅的選擇】不需鋼牙、不影響生活
全數位評估,量身打造專屬牙套
舒適、透明、可拆卸
讓你在不知不覺中完成蛻變✨
立即預約諮詢,找回自信笑容
諮詢專線:03-525-1977
