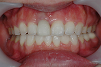
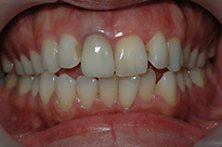
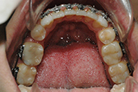
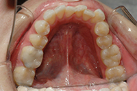
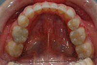
齒顎矯正。
患者︰羅小姐,三十歲,上班族。
主訴︰不好看。
| ●治療前 | ●治療中 | ●治療後 | ||
![]() | ![]() | ![]() | ![]() | ![]() |
![]() | ![]() | ![]() | ![]() | ![]() |
![]() | ![]() | ![]() | ![]() | ![]() |
(本文所有權,歸屬於新竹馨典牙醫診所何宜威醫師)
聲明: 本所療程皆由專業醫生評估後,依照個人口腔狀況進行治療。因每位患者個別狀況不同,術後狀況也不盡相同,需親來本所由醫生評估
齒顎矯正。
患者︰羅小姐,三十歲,上班族。
主訴︰不好看。
| ●治療前 | ●治療中 | ●治療後 | ||
![]() | ![]() | ![]() | ![]() | ![]() |
![]() | ![]() | ![]() | ![]() | ![]() |
![]() | ![]() | ![]() | ![]() | ![]() |
(本文所有權,歸屬於新竹馨典牙醫診所何宜威醫師)
聲明: 本所療程皆由專業醫生評估後,依照個人口腔狀況進行治療。因每位患者個別狀況不同,術後狀況也不盡相同,需親來本所由醫生評估
牙齒不整齊?現在有更優雅的選擇】不需鋼牙、不影響生活
全數位評估,量身打造專屬牙套
舒適、透明、可拆卸
讓你在不知不覺中完成蛻變✨
立即預約諮詢,找回自信笑容
諮詢專線:03-525-1977
