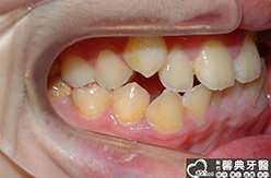
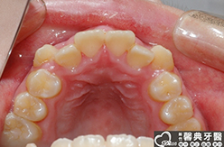
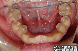
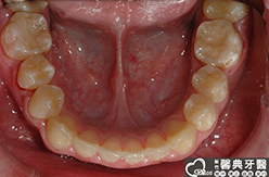
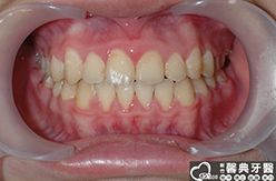
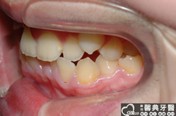
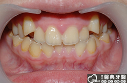
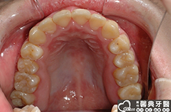
牙齒凌亂、錯咬,影響美觀與功能,是牙科臨床上常見的問題,可藉由齒顎矯正改善牙齒排列狀況;若條件許可,療程約一年半至二年即可結束。
患者︰高同學,10多歲,學生。
主訴︰牙齒凌亂,想做矯正。
臨床發現︰局部牙齒深咬,全口多顆牙齒排列不正。
治療計劃︰將上下顎牙齒整平,調整全口咬合功能,療程約一年半即結束。
| ●治療前 | ●治療後 | |
![]() | ![]() | ![]() |
![]() | ![]() | ![]() |
![]() | ![]() | ![]() |
![]() | ![]() | ![]() |
![]() | ![]() | ![]() |
![]() | ![]() | ![]() |
![]() | ![]() | ![]() |
聲明: 本所療程皆由專業醫生評估後,依照個人口腔狀況進行治療。因每位患者個別狀況不同,術後狀況也不盡相同,需親來本所由醫生評估。
牙齒凌亂、錯咬,影響美觀與功能,是牙科臨床上常見的問題,可藉由齒顎矯正改善牙齒排列狀況;若條件許可,療程約一年半至二年即可結束。
患者︰高同學,10多歲,學生。
主訴︰牙齒凌亂,想做矯正。
臨床發現︰局部牙齒深咬,全口多顆牙齒排列不正。
治療計劃︰將上下顎牙齒整平,調整全口咬合功能,療程約一年半即結束。
| ●治療前 | ●治療後 | |
![]() | ![]() | ![]() |
![]() | ![]() | ![]() |
![]() | ![]() | ![]() |
![]() | ![]() | ![]() |
![]() | ![]() | ![]() |
![]() | ![]() | ![]() |
![]() | ![]() | ![]() |
聲明: 本所療程皆由專業醫生評估後,依照個人口腔狀況進行治療。因每位患者個別狀況不同,術後狀況也不盡相同,需親來本所由醫生評估。
牙齒不整齊?現在有更優雅的選擇】不需鋼牙、不影響生活
全數位評估,量身打造專屬牙套
舒適、透明、可拆卸
讓你在不知不覺中完成蛻變✨
立即預約諮詢,找回自信笑容
諮詢專線:03-525-1977
