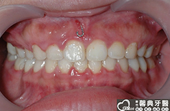
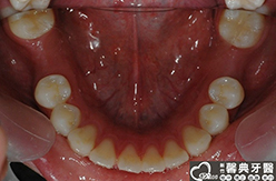
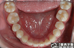
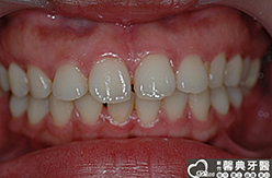
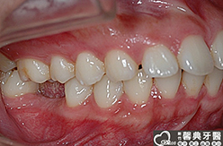
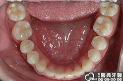
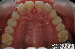
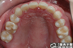
上、下顎前突俗稱暴牙,由於前排牙齒向外暴出,嘴巴閉合時,嘴唇起來看會比較厚,嚴重時甚至無法閉合。
患者︰謝先生,20多歲,上班族。
主訴︰牙齒暴牙不好看。
臨床發現︰上下顎前突,全口多顆牙齒排列不正。
| ●治療前 | ●治療後 | |
![]() | ![]() | ![]() |
![]() | ![]() | ![]() |
![]() | ![]() | ![]() |
![]() | ![]() | ![]() |
![]() | ![]() | ![]() |
![]() | ![]() | ![]() |
![]() | ![]() | ![]() |
![]() | ![]() | ![]() |
聲明: 本所療程皆由專業醫生評估後,依照個人口腔狀況進行治療。因每位患者個別狀況不同,術後狀況也不盡相同,需親來本所由醫生評估。
上、下顎前突俗稱暴牙,由於前排牙齒向外暴出,嘴巴閉合時,嘴唇起來看會比較厚,嚴重時甚至無法閉合。
患者︰謝先生,20多歲,上班族。
主訴︰牙齒暴牙不好看。
臨床發現︰上下顎前突,全口多顆牙齒排列不正。
| ●治療前 | ●治療後 | |
![]() | ![]() | ![]() |
![]() | ![]() | ![]() |
![]() | ![]() | ![]() |
![]() | ![]() | ![]() |
![]() | ![]() | ![]() |
![]() | ![]() | ![]() |
![]() | ![]() | ![]() |
![]() | ![]() | ![]() |
聲明: 本所療程皆由專業醫生評估後,依照個人口腔狀況進行治療。因每位患者個別狀況不同,術後狀況也不盡相同,需親來本所由醫生評估。
牙齒不整齊?現在有更優雅的選擇】不需鋼牙、不影響生活
全數位評估,量身打造專屬牙套
舒適、透明、可拆卸
讓你在不知不覺中完成蛻變✨
立即預約諮詢,找回自信笑容
諮詢專線:03-525-1977
