案例1︰
問題︰後牙缺牙,牙齒位移,門牙錯咬,導致於植牙空間不足
改善方式︰先使用隱形矯正牙套,完成後再植牙
| ●治療前 | ●治療後 | |
![]() | ![]() | ![]() |
| ●治療前 | ●治療後 | |
![]() | ![]() | ![]() |
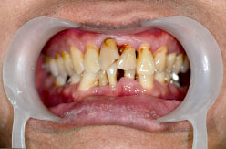
案例2︰
問題︰嚴重牙周病,牙齒凌亂,缺牙
改善方式︰做完全口牙周雷射後,使用隱形矯正牙套
| ●治療前 | ●治療後 | |
![]() | ![]() | ![]() |
| ●治療前 | ●治療後 | |
![]() | ![]() | ![]() |
案例3︰
問題︰下顎牙齒亂,(有一顆暴牙)
改善方式沒有拔牙,使用隱形矯正牙套改善
| ●治療前 | ●治療後 | |
![]() | ![]() | ![]() |
| ●治療前 | ●治療後 | |
![]() | ![]() | ![]() |
案例4︰
問題︰牙周病患者,治療完成後開始亂的地方調整回來(缺牙/位移)
沒有拔牙,使用隱形矯正牙套改散
| ●治療前 | ●治療後 | |
![]() | ![]() | ![]() |
| ●治療前 | ●治療後 | |
![]() | ![]() | ![]() |


















