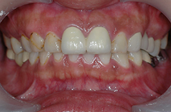
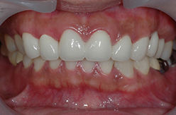
全瓷冠。
患者︰許小姐,三十二歲。
主訴︰希望呈現亮白效果。
| ●治療前 | ●治療後 | |
![]() | ![]() | ![]() |
(本文所有權,歸屬於新竹馨典牙醫診所何宜威醫師)
聲明: 本所療程皆由專業醫生評估後,依照個人口腔狀況進行治療。因每位患者個別狀況不同,術後狀況也不盡相同,需親來本所由醫生評估。
全瓷冠。
患者︰許小姐,三十二歲。
主訴︰希望呈現亮白效果。
| ●治療前 | ●治療後 | |
![]() | ![]() | ![]() |
(本文所有權,歸屬於新竹馨典牙醫診所何宜威醫師)
聲明: 本所療程皆由專業醫生評估後,依照個人口腔狀況進行治療。因每位患者個別狀況不同,術後狀況也不盡相同,需親來本所由醫生評估。