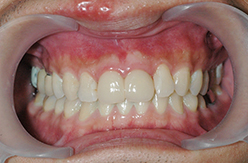
牙齒外傷、缺損是臨床常見的問題,透過3D齒雕進行牙齒復形,其優勢在於療程較快,省去技工所製作假牙的往返時間,提供忙碌現代人新的選擇。
患者︰陳先生,四十歲,上班族。
主訴︰門牙因外傷斷裂,吃東西不方便,想做牙套卻沒有時間。
治療計劃︰於左上門牙斷裂處進行消毒,裝置全瓷鑄釘增加牙齒咬合力,並使用3D齒雕進行牙齒復形。
| ●治療前 | ●治療後 | |
![]() | ![]() | ![]() |
![]() | ![]() | ![]() |
聲明: 本所療程皆由專業醫生評估後,依照個人口腔狀況進行治療。因每位患者個別狀況不同,術後狀況也不盡相同,需親來本所由醫生評估。
牙齒外傷、缺損是臨床常見的問題,透過3D齒雕進行牙齒復形,其優勢在於療程較快,省去技工所製作假牙的往返時間,提供忙碌現代人新的選擇。
患者︰陳先生,四十歲,上班族。
主訴︰門牙因外傷斷裂,吃東西不方便,想做牙套卻沒有時間。
治療計劃︰於左上門牙斷裂處進行消毒,裝置全瓷鑄釘增加牙齒咬合力,並使用3D齒雕進行牙齒復形。
| ●治療前 | ●治療後 | |
![]() | ![]() | ![]() |
![]() | ![]() | ![]() |
聲明: 本所療程皆由專業醫生評估後,依照個人口腔狀況進行治療。因每位患者個別狀況不同,術後狀況也不盡相同,需親來本所由醫生評估。