牙周病雷射治療是什麼?

本院所引進的法國LOKKI Laser,乃是結合全球1,500位牙科臨床醫師與五座大型醫學研究中心所研發而成,專為牙周疾病及根管治療(俗稱抽神經)所設計,其輔助治療的卓越效果在全球已超過百萬名患者體驗。
特別一提的是,LOKKI Laser不僅受到曾任國際雷射醫療學會會長Dr. Rey的肯定,全世界的臨床成功案例更是不勝枚舉。LOKKi雷射在台灣已累積十年以上的口碑與臨床應用的寶貴經驗,幫助了數百位牙醫師們與病患治療棘手的根管與牙周疾病。
牙周病雷射是一種利用雷射技術來治療牙周病的方法。使用特定波長的雷射光,針對牙齦和牙齦下的病變組織進行精確的處理,具有以下幾點優點:
- 精確性高:雷射能精確地針對病變組織,減少對周圍健康組織的損害。
- 出血較少:雷射治療時的高能光束有助於凝血,因此在手術過程中通常會有較少的出血。
- 疼痛和腫脹較輕微:相比傳統手術,雷射治療後的疼痛和腫脹較少,恢復也更快。
- 促進組織再生:雷射能刺激受損組織的再生和修復,有助於恢復牙周健康。
當然牙周病雷射治療的具體情況還是需要醫師根據患者的實際狀況決定。
治療優勢一覽表
LOKKI Laser除了在牙周治療上有理想的表現外,在軟硬組織處理及根管治療(俗稱抽神經)上,亦有不錯的表現,謹列表如下︰
| 治療優勢 | 雷射輔助治療項目 | |
|---|---|---|
| 根管治療 |
|
|
| 軟組織治療 |
|
|
| 硬組織治療 |
|
|
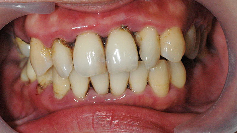
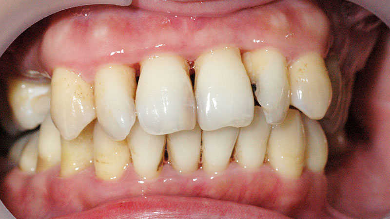
治療案例
| ●治療前 | ●治療後 | |
![]() | ![]() | ![]() |
傳統的手術,是利用刮除方式清理牙結石與牙菌斑,再縫合傷口,馨典搭配高端醫療設備導入牙周病雷射治療上,讓您有更舒適的牙周病治療
「照片經當事人同意刊登,僅作為教育參考使用,實際治療效果因人而異」




